콜라겐 구조의 70%
클로인,프롤린,라이신은 콜라겐의 70%를 차지합니다.
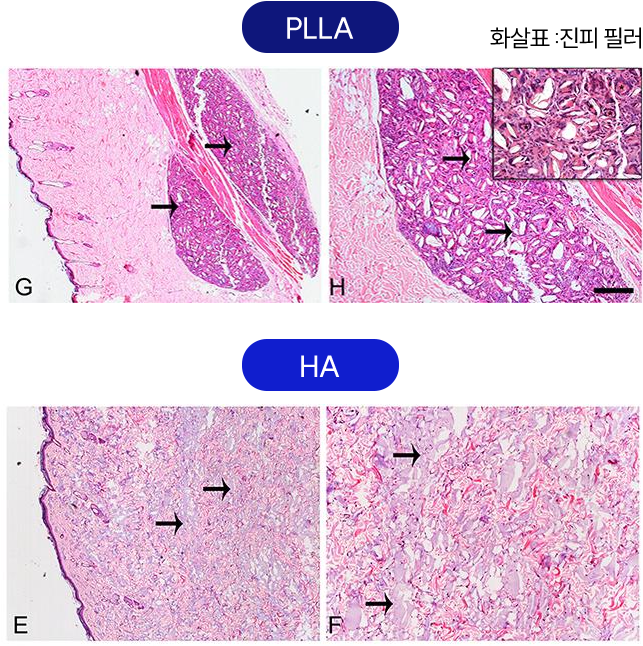
섬유아세포가 대사활동을 하는 동안 섬유아세포에 자극을 주어
콜라겐을 생성하거나, 콜라겐이 서로 합성되는 현상이 일어납니다.
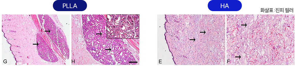
섬유아세포가 대사활동을 하는 동안 섬유아세포에 자극을 주어
콜라겐을 생성하거나, 콜라겐이 서로 합성되는 현상이 일어납니다.































































































































